We are proud to serve our community and are committed to making a positive impact on the oral health of our patients.
Contact Us:
The Best Dental Care
Our mission is to serve and provide for your family’s dental needs. We provide personalized dental care to craft beautiful smiles for each member of your family. We work hard to create a comfortable environment where patients and their families know that their questions and concerns are an important part of developing their dental treatment plans. We accommodate busy schedules for every member of your family by offering timely and convenient appointment times combined with friendly and efficient service.
Our dentists use the most sophisticated technologies to offer an ultimate stress-free and comfortable dental experience to our patients. We use innovative oral health technology that makes it possible for us to get high-quality results in a safe, efficient and comfortable manner.
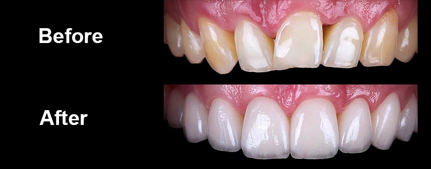
At Paragon Dental, we provide a wide array of services for the entire family. Our complete range of dental services offers treatment, including image-enhancing cosmetic dentistry that can include crowns, bridges, porcelain veneers, implants, or simple white fillings to complete smile makeover. We also offer more advanced dental services such as endodontic treatment, gum therapy, laser dentistry, and oral surgery services for extractions and wisdom tooth removal. Many patients develop dental anxiety and a phobia of going to the dentist leading to a higher risk of gum disease and early tooth loss. We use Oral Sedation to help make you more comfortable and relaxed during dental treatment.
Our Dental Clinic is dedicated to providing the most up to date general, orthodontic and family dentistry. Our Clinic has grown to provide a world class facility for the treatment of tooth loss, dental cosmetics and advanced.
Our dentists use the most sophisticated technologies to offer an ultimate stress-free and comfortable dental experience to our patients. We use innovative oral health technology that makes it possible for us to get high-quality results in a safe, efficient and comfortable manner.
At Paragon Dental, we do it all—from routine checkups to smile makeovers that change lives. Need a lasting solution for missing teeth? Our dental implants give back your function and confidence. Want a brighter smile? Our professional teeth whitening restores that radiant glow. Struggling with misalignment? Our orthodontic treatments help straighten your teeth comfortably.
We also provide gum therapy, crowns, veneers, and more—all of which are tailored to maintain a healthy and gorgeous smile. Regardless of your dental requirements, our skilled team provides exceptional care with precision, comfort, and personalized touch.
Your best smile begins here!
Don’t take our word for it, hear what our happy clients have to say
Check out our latest news and blog posts


Have Dental Problem: Call us at (209) 548-0100
or make an Appointment

Our mission is to serve and anticipate your family’s dental needs. We provide personalized dental care to craft beautiful smiles for each member of your family.