Home » Pediatric Dentistry Treatment
Pediatric dental exams are more extensive than just looking at the teeth. The dentist performs a review of the child’s health history to determine if there is a need for any special dental care. The examination will note the health and condition of the teeth, gums, soft tissues, head, and neck. The dentist also monitors the growth of the jaws and development of the teeth and evaluates any oral habits, such as thumb sucking. The pediatric dentist will use all of these factors to make a diagnosis and create a custom treatment plan and instructions for home care.
The dentist or hygienist will clean the child’s teeth to remove any plaque or calculus. Without treatment, this buildup can cause gum disease and tooth decay. The dentist will also treat the teeth with fluoride to strengthen them and make them resistant to tooth decay. Cleanings and fluoride treatments are recommended twice a year to maintain your child’s dental health and prevent decay.
Prevention is a vital part of your child’s dental care. The dentist will provide instructions and tips on home dental care, such as brushing techniques. The dentist may also provide a list of foods and habits that should be avoided.
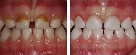
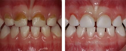
A white fillings is necessary to treat your cavity because if left untreated the decay will eventually grow and will enter your nerve canal. And yes, this can be as painful as it sounds. It can also lead to more serious problems such as infection or abscess.
A filling may also be needed to replace or repair an old worn down existing filling or to fix a chipped tooth. In addition to potential pain and discomfort and possible tooth loss, if you wait to have your cavity filled it may end up requiring a more difficult process, such as a root canal, to save your tooth. And it could also cost you a lot more money to fix. The bottom line is you should get your cavity filled as soon as you can.
Children generally need X-rays more often than adults since their mouths grow and change rapidly. They are also more susceptible to tooth decay. Pediatric dentists can use X-rays to survey erupting teeth, diagnose bone diseases, analyze the extent of an oral injury, or plan orthodontic treatment. Pediatric X-rays allow the dentist to diagnose and treat conditions that cannot be visually detected during an oral examination. If dental problems are identified and treated early, dental care will be less invasive and affordable.
Pediatric dentists are careful to minimize the exposure of your child to radiation. Lead body aprons and shields help protect the child’s body, and modern dental equipment is designed to focus the X-ray beam only where needed and filter out unnecessary X-rays. The use of high-speed film and digital X-rays helps minimize radiation exposure.
For children with a high risk of tooth decay, the American Academy of Pediatric Dentistry recommends X-ray examinations every six months to detect cavities developing between the teeth. Children with a low risk of tooth decay require X-rays less frequently.
Panoramic X-rays may sometimes be necessary to view the child’s entire mouth and jaws. It shows any permanent teeth that are missing, abnormal growth, extra teeth or other oral issues. A panoramic is typically scheduled when a child’s 6th-year molars erupt and then once every 3-5 years after that. Sometimes a panoramic may be recommended if there has been physical trauma to the jaw.
Pediatric dentists use sealants to help prevent tooth decay. Sealants are made of clear plastic and are applied to the chewing surface area of the tooth. Some teeth tend to have depressions and grooves which are difficult for the child to clean. Sealants are used to fill these depressions to deter tooth decay. Application of the sealant is quick, painless, and can be effective for many years if your child practices good oral hygiene and avoids biting hard objects.
Tooth-colored porcelain fillings are usually used to enhance the front teeth where appearance is the most important. They are used to repair chipped or decayed teeth anywhere in the mouth. The benefit of tooth-colored fillings is that they are hard to distinguish from the natural teeth color.
Baby teeth hold the spacing for the permanent teeth and help guide the permanent teeth into position. Baby teeth allow for the normal development of the child’s jawbone and muscles. When baby teeth fracture due to decay or trauma and a filling is required on more than one surface of the tooth, the pediatric dentist may recommend the placement of a crown over the baby tooth instead of a filling. The filling may decay again, break or wear out, and the tooth will then require another restoration. A crown is more durable than a filling and should last until the child’s adult teeth come in. In many cases, the crown results in less expense to the parent and less trauma to the child.
Stainless steel crowns are silver-colored caps that cover the whole tooth. Pediatric dentists favor stainless steel crowns for restoring teeth back teeth with extensive decay or decay in between the teeth. Stainless steel crowns are the most durable, and last until the baby tooth falls out around the age of 12.
This is a stainless steel crown with a tooth-colored coating on the front. This option is ideal for restoring baby teeth in the front where parents are concerned with the cosmetic appearance of their child. Hard foods must be avoided since the tooth-colored coating can chip off.
This type of crown is created using a clear shell that is filled with the tooth-colored filling material and fitted over the tooth. A light is applied to cure the material, then the outer clear shell is removed, leaving the tooth-colored material. Although this restoration is the most cosmetically pleasing option, it is also the most fragile. Strip crowns are only feasible if there is enough natural tooth structure left once all decay has been removed and prepped for crown placement.
This restoration is a white plastic shell that is filled with the tooth-colored filling material and fitted over the tooth. A curing light is then applied to the restoration. Unlike a strip crown, this shell is left in place.
Endodontic or root canal treatment focuses on the pulp of the tooth. The pulp contains nerves and blood vessels that supply nutrients and oxygen to the tooth. Endodontic treatment is performed in order to save the tooth when the pulp gets infected or injured. During the treatment, the hollow area inside the tooth is cleaned, disinfected, and filled.
When trauma, decay, or other causes have injured the pulp, endodontic treatment is usually the best way to try to save the tooth. Unless a child’s tooth is about to fall out, a dentist may recommend endodontic treatment on a child’s primary(baby) tooth. Without treatment, the child will experience pain or discomfort, and infection may result. Early extraction of the primary tooth is usually not advisable because primary teeth are necessary for chewing and for learning proper pronunciation during language development. Also if a baby tooth is extracted too early, neighboring teeth can shift and occupy some of the vacant space making it difficult for the permanent tooth to grow properly.
Symptoms that indicate a need for endodontic treatment can include a toothache, sensitivity to hot and cold, or if the pulp has been exposed to fracture and the child is experiencing sensitivity. The type of endodontic treatment that may be recommended depends on how seriously the pulp is affected, an evaluation of the tooth, and the results of an X-ray.
Space maintainers are necessary when a primary tooth(baby tooth) has been lost prematurely. A space maintainer holds open the gap where the permanent tooth will come in and avoids shifting the neighboring teeth. Space maintainers can be fixed or removable, and they can be unilateral(fixed to one side of the mouth) or bilateral(fixed to both sides of the mouth). For younger patients, fixed space maintainers are usually recommended.
Also known as laughing gas, nitrous oxide is a type of sedation that can be administered when a child is scared and not able to relax. It is also used with patients who have sensitive gag reflexes.
No Problem! We have different options for our patients! We accept Care Credit for any procedure amount. Also, we are more than happy to work with you and help you get the best of your Care Credit!
With 0% Interest Options, you can make your payments work and receive the 1st Class Dental work you deserve! You can apply by clicking on the logo below!
Have Dental Problem: Call us at (209) 548-0100
or make an Appointment

Our mission is to serve and anticipate your family’s dental needs. We provide personalized dental care to craft beautiful smiles for each member of your family.