Home » Dental Crowns and Bridges
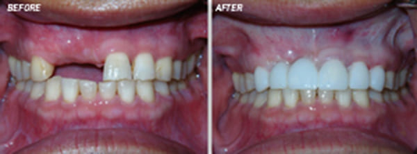
At our dental office, we provide dental crown(s) and bridge(s) solutions. We create customized dental crowns and bridges for those patients with missing teeth, fractured, damaged, or decayed teeth. Our dental crowns and bridges look and feel like a natural tooth. These treatments are used for the long-lasting correction of major dental problems. No matter how complex your dental condition is, we are here to improve your dental health and the appearance of your mouth with a dental crown and bridge. Schedule an appointment with us or contact us to discuss your cosmetic goals. We will perform a comprehensive examination of your dental health to ensure that you receive exactly the care needed to restore your attractive and natural smile.
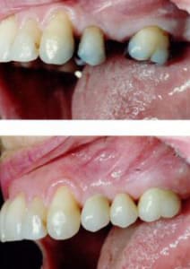
A dental crown is a tooth-shaped cap that is permanently cemented over a tooth, in order to restore the tooth’s strength, shape, size, and improve its appearance. The crown will cover the visible portion of the tooth above and right at the gum line, once it is cemented into place.
Crowns are used to hold weak, broken or cracked teeth together to avoid further fracturing. Crowns are also used to support large fillings, attach a bridge, or cover discolored or deformed teeth. Crowns may also be placed over dental implants.
The dentist usually requires two dental visits to install a crown. First, the dentist needs to prepare the tooth or implant for the crown. The dentist will grind and shape the tooth so that the crown can be fitted over it. Then, the dentist makes an impression of the tooth and the surrounding gums, which is then sent to a dental laboratory so that the crown can be created. The dentist fits a temporary crown over the tooth until the permanent crown is ready. During the second visit, the dentist will remove the temporary crown and cement the finished permanent crown onto the tooth.
Crowns generally last about five to eight years, and with good oral hygiene most crowns last longer. Certain habits such as fingernail biting, chewing ice, and grinding teeth can do damage to the crown and should be avoided.
Dental bridges are used to replace one or more missing teeth in your mouth. Dental bridges are fixed, in that, they are cemented on the supporting teeth, or in some cases fixed on the dental implant that has been placed next to the missing teeth.
Replacing the missing teeth will restore your ability to chew and speak besides its cosmetic advantage; in addition to it the space caused by the missing teeth may allow the surrounding teeth to shift into that space. This shifting could cause a misalignment in your bite that can result in problems with your jaw joint. These shifted teeth are harder to clean, making them more susceptible to gum disease, decay or even additional tooth loss.
It normally takes two or more visits for your dentist to complete your bridge. On your first visit the supporting teeth, which are typically the ones on either side of the missing tooth, are prepared. This is done to make room for the crowns that will slide over the supporting teeth. These crowns also serve as holders of the pontic, which is the missing tooth’s replacement.
Next, an impression of the supporting teeth is made so a dental laboratory can custom fit the bridge. Finally, a temporary dental bridge is inserted to protect the supporting teeth as well as the space between them.
On your second visit, the permanent bridge is placed and adjusted to ensure proper fit and function. If the bridge fits precisely, your dentist will proceed with permanently cementing the bridge into place.
After the successful completion of the bridge, you may feel some discomfort, mild pain when biting or sensitivity to temperature changes for a few days. As advised by your dentist, you can take over-the-counter pain medicine, such as Advil contains ibuprofen, to alleviate the discomfort. If these symptoms persist for more than a few days, visit your dentist.
The longevity of your dental bridge depends in large part on the quality of the material in the bridge, as well as your oral hygiene, diet, and the health of the supporting teeth and gums. Please ask your dentist for proper brushing and flossing techniques.
No Problem! We have different options for our patients! We accept Care Credit for any procedure amount. Also, we are more than happy to work with you and help you get the best of your Care Credit!
With 0% Interest Options, you can make your payments work and receive the 1st Class Dental work you deserve! You can apply by clicking on the logo below!
Have Dental Problem: Call us at (209) 548-0100
or make an Appointment

Our mission is to serve and anticipate your family’s dental needs. We provide personalized dental care to craft beautiful smiles for each member of your family.