Home » Porcelain Veneers
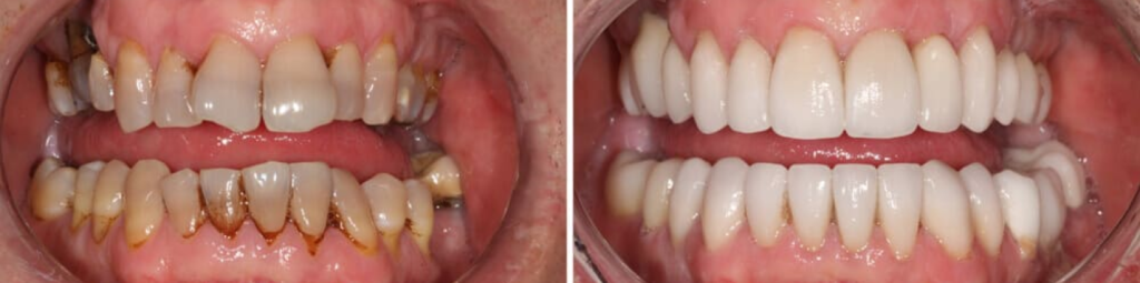
Chips, stains, or gaps between teeth don’t have to mean an end to your vibrant smile. Porcelain veneers, thin shells of ceramic material placed over the natural tooth surface, can remove these flaws and restore your smile’s appearance. Designed to mimic the natural translucency of enamel, porcelain veneers look and feel like your natural teeth.
If you want to straighten crooked teeth, repair cracks, or remove deep discolorations, porcelain veneers can completely transform your smile. Blending artistry and science, your dentist will select veneers that compliment your other teeth, facial features and personality. Many patients select porcelain veneers because they:
Veneers are used to cover discolorations and imperfections. These restorations can also serve as an effective substitution for crowns on the front teeth because they can aesthetically change the size, color, and shape of your teeth. Often, your dentist can mount the veneers using little or no anesthesia. Resistant to staining, porcelain veneers last for years and are not affected by things like coffee, tea, and cigarettes.
To prepare your teeth, the dentist will first remove about half a millimeter of the natural enamel, which allows for the thickness of the veneer. Next, the doctor will take a mold of the teeth. These models are sent to a lab where a skilled technician will fabricate your custom veneers. Finally, your dentist will permanently bond the veneers to the natural teeth.
For anyone who wants to consider improving their images with porcelain veneers, we have provided frequently asked questions and answers to offer more information about these restorations. If you want to discuss your options, call your dentist and schedule a consultation appointment.
Crafted from solid dental porcelain, veneers cover your front teeth to remove flaws that hinder your beautiful smile. Traditional porcelain veneers are customized to fit the size, shape, and color of your teeth so that you achieve a gorgeous appearance and natural-looking restorations.
We can’t give you an estimate on the price because each set of veneers is specifically designed for that individual patient. During your consultation appointment, the dentist will discuss your visions, evaluate your mouth, and create a complete plan for updating your smile. In the meanwhile, we will review costs and payment options.
If you choose custom veneers, the restorations are permanent because your doctor will remove a thin layer of enamel to prepare your teeth for the porcelain veneers. Little or no-prep options like Lumineers do allow patients the flexibility of returning to their original smiles. However, Lumineers don’t work in all cases, so you will need a consultation and exam to determine the best option for your smile.
In some cases, professional teeth whitening can brighten your smile and revive your appearance. When you have gaps, permanent stains, or chips, bleaching your teeth won’t address the issues. Porcelain veneers literally cover the teeth and create a straight, attractive smile.
Most of the time, patients complete the whole process in four to six weeks. During this time, you will have an initial exam, take impressions for the veneers, and return for final placement.
No Problem! We have different options for our patients! We accept Care Credit for any procedure amount. Also, we are more than happy to work with you and help you get the best of your Care Credit!
With 0% Interest Options, you can make your payments work and receive the 1st Class Dental work you deserve! You can apply by clicking on the logo below!
Have Dental Problem: Call us at (209) 548-0100
or make an Appointment

Our mission is to serve and anticipate your family’s dental needs. We provide personalized dental care to craft beautiful smiles for each member of your family.