Home » Cosmetic Dentistry
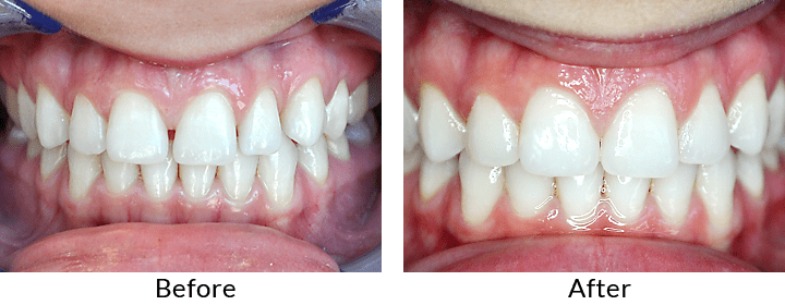
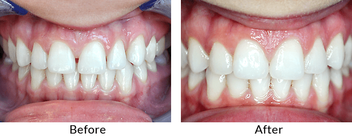
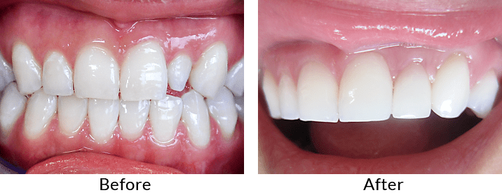
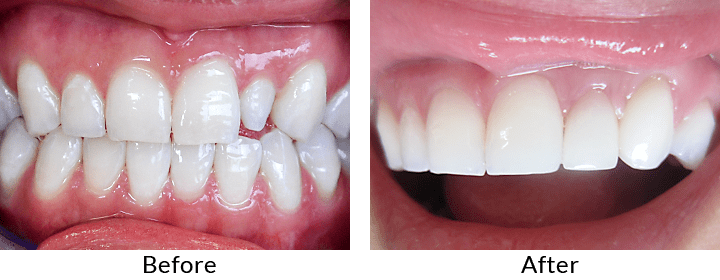
With cosmetic dentistry, we focus on dental procedures that restore teeth to their natural beauty and enhance a smile’s aesthetic appeal. Besides that, we make sure to maintain optimum health and functionality of the same. Cosmetic dentistry can improve your self-image because updating your smile often has a positive emotional and psychological impact. Research indicates that people with bright, white smiles are often seen as smarter, more attractive, and more successful.
If you feel embarrassed by how your teeth look, consider cosmetic dentistry. The modern dental procedures and techniques your dentist uses can remove imperfections and create a fabulous, new image. With a customized plan and advanced materials, your doctor will completely revitalize your oral health and appearance.
After examining your teeth, your dentist can recommend personalized cosmetic treatments that will enhance your smile. Make an appointment for a consultation today so you can start enjoying the smile of your dreams.
No Problem! We have different options for our patients! We accept Care Credit for any procedure amount. Also, we are more than happy to work with you and help you get the best of your Care Credit!
With 0% Interest Options, you can make your payments work and receive the 1st Class Dental work you deserve! You can apply by clicking on the logo below!
Have Dental Problem: Call us at (209) 548-0100
or make an Appointment

Our mission is to serve and anticipate your family’s dental needs. We provide personalized dental care to craft beautiful smiles for each member of your family.